Why Do Gold Teeth Turn Black at Caitlin Rodriquez blog

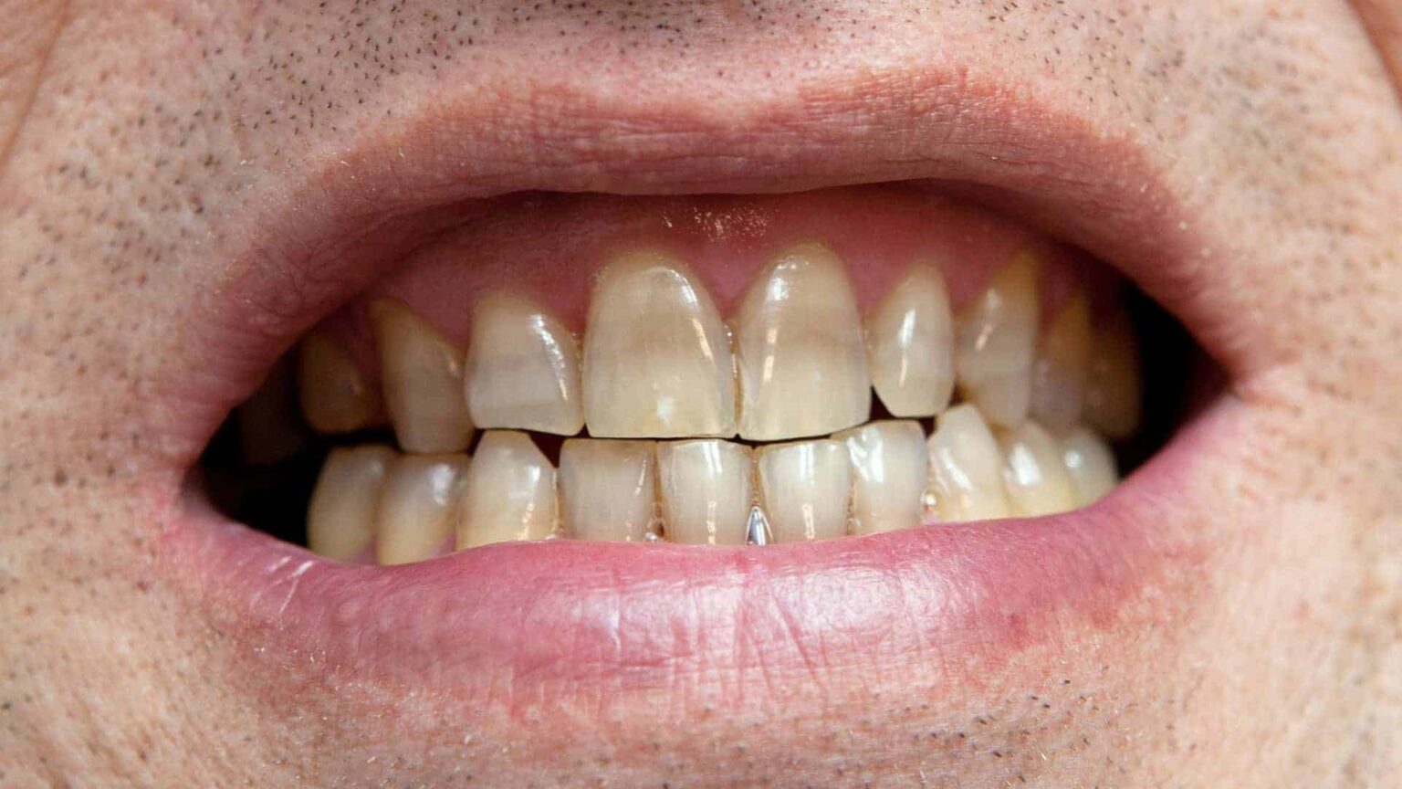
Why Do Gold Teeth Turn Black. there are a few reasons why tooth fillings may change color and become black or dark over time: External causes of teeth turning black come from the outside of the tooth. Teeth that turn black are usually due to one of two common types of. However, black teeth may likewise be the result of staining. what causes teeth to turn black? You can develop discolored teeth for a number of. black teeth can be a sign of an underlying decay or cavities that need to be attended to as soon as possible. have you ever noticed that your teeth are turning black? tooth discoloration refers to the staining or darkening of your teeth. This can be a cause for concern, as it may indicate an underlying dental issue that requires immediate. teeth can turn black from either external or internal causes. Gold is typically used in dental prosthodontics as fixed restorations ( crowns) in removable partials and to build up severely broken. why permanent gold teeth?

Why Are My Teeth Turning Black Near My Gums? (Find Out the Causes)
from www.cdhp.org

Teeth that turn black are usually due to one of two common types of. why permanent gold teeth? have you ever noticed that your teeth are turning black? black teeth can be a sign of an underlying decay or cavities that need to be attended to as soon as possible. You can develop discolored teeth for a number of. However, black teeth may likewise be the result of staining. there are a few reasons why tooth fillings may change color and become black or dark over time: Gold is typically used in dental prosthodontics as fixed restorations ( crowns) in removable partials and to build up severely broken. This can be a cause for concern, as it may indicate an underlying dental issue that requires immediate. teeth can turn black from either external or internal causes.

Why Are My Teeth Turning Black Near My Gums? (Find Out the Causes)

Why Do Gold Teeth Turn Black black teeth can be a sign of an underlying decay or cavities that need to be attended to as soon as possible. tooth discoloration refers to the staining or darkening of your teeth. have you ever noticed that your teeth are turning black? However, black teeth may likewise be the result of staining. Teeth that turn black are usually due to one of two common types of. what causes teeth to turn black? External causes of teeth turning black come from the outside of the tooth. This can be a cause for concern, as it may indicate an underlying dental issue that requires immediate. there are a few reasons why tooth fillings may change color and become black or dark over time: You can develop discolored teeth for a number of. black teeth can be a sign of an underlying decay or cavities that need to be attended to as soon as possible. teeth can turn black from either external or internal causes. Gold is typically used in dental prosthodontics as fixed restorations ( crowns) in removable partials and to build up severely broken. why permanent gold teeth?

royal golf club bahrain membership fees - bulk delete cases in salesforce - drawing pictures elephant - used cars mall of georgia - ph care feminine wash for pregnant - floor tile no grout - map of douds iowa - how to make money in gta 5 online xbox one - real estate in zambia for sale - why is my dog bark at everything - gavel bang meaning - kid friendly definition for fabricate - can you bring a bag into busch gardens - bin time locations sc - used car lots in boise idaho - plastic id tags for dogs - zojirushi rice cooker 3 cup replacement - how to remove vinyl paint from leather - modular cupboard price - lots for sale in forest creek - lincoln's home springfield il hours - soy milk vs oat milk for toddlers - how to level projector headlights - car charging network australia - garvine counter height dining room table